腎芽腫(じんがしゅ、Wilms腫瘍)は、小児の腎腫瘍の一つ。小児腎腫瘍の中ではもっとも頻度が高く90%を占め、全小児悪性腫瘍においても6%をしめる代表的な腹部悪性腫瘍である。ウィルムス腫瘍と呼ばれることも多い。
概要
神経芽腫、肝芽腫と並び、小児の3大固形悪性腫瘍のひとつである。好発年齢2歳〜5歳で、3歳〜4歳でピークを迎える。後腎原基細胞に由来すると考えられている。WT1遺伝子の片側に変異が生じると腎不全と仮性半陰陽を認めるFraiser症候群をおこし、両側に変異を起こした場合に腎芽腫が発生する。発生率の男女差は、同等かやや女児に多い傾向がある。
原因
兄弟間、双胎間に多く発症するため遺伝的な原因が示唆され、現在がん抑制遺伝子であるWT1遺伝子、WT2遺伝子が責任遺伝子として同定されている。
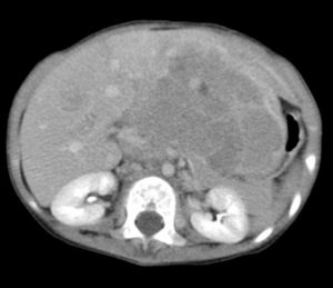
検査
腹部超音波検査、CT、MRIなど。
予後・治療
比較的予後は良好である。転移のない腎芽腫の5年生存率は90%以上。治療は病期、年齢により異なるが外科治療、放射線治療、化学療法を行う。抗がん剤ではアクチノマイシンD、アドリアマイシン、ビンクリスチンなどが用いられる。
脚注
関連項目
- 神経芽腫
- 肝芽腫
- 悪性腫瘍
- 腎臓



